剧烈腰背痛,竟是“隐形骨折”惹的祸
94岁的李奶奶(化名),平时身体状态很好,经常和小区爷爷奶奶一块儿散散步,唠唠嗑。两周前突然腰背剧痛难忍,翻个身都困难。在中医科对症保守治疗一周也不见减轻,来到我院西院区脊柱微创外科三病区门诊。初步检查,怀疑是骨折引起的,住院后检查发现胸椎存在“隐匿性骨折”——这类骨折多由骨质疏松引发,轻微动作甚至咳嗽都可能诱发,但因症状不典型,极易被忽视。
我院脊柱微创外科院长助理周红刚、三病区负责人贺毅团队凭借精湛技术,突破高龄手术"禁区",为一名94岁高龄的胸椎压缩性骨折患者成功实施"经皮穿刺椎骨成形术",术后次日患者即恢复行走能力,刷新了该院脊柱微创手术年龄纪录,彰显了微创技术在老年脊柱疾病治疗中的显著优势。这背后,是脊柱微创外科的“硬核”技术与多学科协作的温暖力量。

高龄+多基础病,手术风险如何化解?
94岁超高龄合并严重骨质疏松、既往做过其他节段骨水泥椎体成形术、心肺功能减退、基础疾病复杂……若采用传统开放手术,风险极高,而保守治疗需长期卧床,可能引发肺炎、血栓等致命并发症。于是在周院长带领下脊柱微创外科三病区负责人贺毅团队联合麻醉科、呼吸科、心内科等专家进行多学科会诊,会诊中专家纷纷指出:超高龄患者手术需攻克麻醉耐受、体位摆放、骨水泥反应三大难关,到时候可以采用局部麻醉联合镇痛技术,术中实时监测生命体征,并创新侧卧位入路避免压迫心肺。
“一针”修复骨折,次日出院!
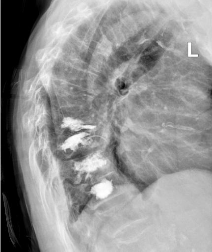
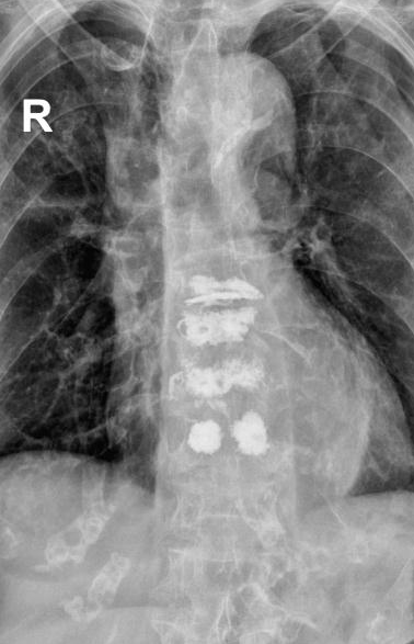
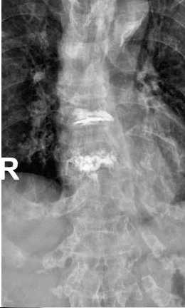
术中,负责人贺毅及团队在C型臂X线透视下,避开神经血管,通过4个3mm的小切口将穿刺针精准抵达骨折部位T9和T11,注入“骨水泥”强化椎体,术中严格控制骨水泥灌注速度与剂量,避免渗漏风险。全程局麻,李奶奶意识清醒,无痛感,出血不足5毫升,术后李奶奶疼痛评分从8分骤降至2分,次日即在支具保护下自主行走,顺利出院。

"原本以为奶奶再也站不起来了,感谢医生创造了奇迹!"家属激动表示。目前,李奶奶已康复出院。此项技术的成功开展,标志着我院脊柱微创外科在超高龄患者治疗领域达到国内领先水平,为脆弱人群提供了更安全有效的治疗选择。

专家提醒:
腰背痛莫轻视,警惕“沉默的骨质疏松”
脊柱微创外科三病区负责人贺毅提醒:腰背痛是许多中老年人常见的症状,但背后可能隐藏着被称为“沉默杀手”的骨质疏松症。骨质疏松症早期无明显症状,但骨密度和骨质量逐渐降低,轻微外力即可引发骨折,甚至无外伤时也可能出现脊椎压缩性骨折,导致剧烈疼痛和活动受限。
绝经后女性:
雌激素水平下降加速骨量流失,60岁以上女性发病率高达56%。
老年人:
65岁以上人群中,每10人有3-4人曾因跌倒骨折。
生活习惯不良者:
长期缺乏运动、吸烟酗酒、钙摄入不足或过度节食的人群。
慢性疾病患者:
长期使用激素类药物或患有内分泌疾病者。
典型症状:
不明原因的持续性腰背痛,夜间或活动时加重。身高变矮、驼背(脊椎压缩性骨折导致椎体变形)。轻微外力(如跌倒、搬重物)后出现剧烈疼痛,可能提示骨折。
骨密度检测(DXA):
确诊骨质疏松的金标准。
影像学检查:
X线或MRI可发现脊椎压缩性骨折或骨结构异常。
营养补充:
每日摄入足量钙(如奶制品、豆类、深色蔬菜)和维生素D(可通过日晒或补充剂获取);控制盐、咖啡因和酒精摄入,减少钙流失。
科学运动:
有氧运动(如快走、游泳)和力量训练可增强骨密度。核心肌群锻炼(如桥式、平板支撑)能稳定脊柱,降低骨折风险。
防跌倒与环境改善:
居家环境需进行适老化改造(如浴室防滑垫、扶手安装);避免剧烈转腰动作(如广场舞中的快速扭腰),选择低强度运动
从青少年期预防:
值得注意的是不要以为骨质疏松这个词只会出现在老年人身上,青少年期骨骼的生长、发育、骨量达到了一生中最大的值称之谓“骨量峰值”,均衡饮食和运动可为老年骨量流失提供储备。
及时就医:
若腰背痛持续加重或伴随活动受限,需尽早排查骨质疏松性骨折。
综合管理:
骨质疏松需长期干预,结合药物、运动、营养多管齐下。
腰背痛可能是骨质疏松的“预警信号”,尤其对高危人群而言,早期筛查与干预至关重要。通过科学的生活方式调整和规范治疗,可有效延缓疾病进展,降低骨折风险,提升生活质量。若症状持续,请及时至骨科就诊,接受专业评估。